皮膚發癢,也稱為搔癢症,是一種刺激性和無法控制的感覺,讓你想要透過搔抓來停止。搔癢的可能原因包括內部疾病和皮膚狀況。
如果原因不明顯,建議找醫生看診。醫生可以找到根本原因並提供緩解治療。幾種家庭療法,如非處方藥膏和保濕劑,適用於舒緩搔癢。
皮膚搔癢的原因有很多。以下列出了30種可能的原因。
皮膚乾燥(Drt Skin)

脫屑,瘙癢和均裂,最常見於腿部,手臂和腹部
可以通過改變生活方式來解決
食物過敏(Food allergy)

這種情況被認為是醫療緊急情況。可能需要緊急護理。當您的免疫系統對食物或飲料中的常見物質反應不當時,就會發生這種情況
症狀範圍從輕微到嚴重,包括打噴嚏,眼睛發癢,腫脹,皮疹,蕁麻疹,胃痙攣,噁心,嘔吐和呼吸困難
根據您的免疫系統的反應,在食用導致過敏反應的食物後,症狀可能在數分鐘至數小時內發生
常見的食物過敏源包括:牛奶,雞蛋,花生,魚類,貝類,堅果,小麥和大豆
晚期腎臟疾病(End stage renal disease)

一種自身免疫性疾病,表現出影響許多不同身體系統和器官的各種症狀
各種皮膚和粘膜症狀,從皮疹到潰瘍經典的蝴蝶形面部皮疹,從臉頰到鼻子的臉頰交叉
在陽光照射下,皮疹可能會出現或惡化
念珠菌(Candida)

通常發生在皮膚皺褶(腋窩,臀部,乳房下,手指和腳趾之間)
開始出現搔癢,刺痛和紅色皮疹,外觀濕潤,邊緣乾燥結痂
皮膚和膿皰可能會被細菌感染,導致皮膚破裂和疼痛
膽管(膽管)阻塞(Biliary (bile duct) obstruction)

這種情況被認為是醫療緊急情況。可能需要緊急護理。
最常見的是由膽結石引起,但也可能是由肝臟或膽囊損傷,炎症,腫瘤,感染,囊腫或肝臟損傷引起的
皮膚或眼睛發黃,皮膚極度搔癢,無皮疹,淺色大便,尿液很暗
腹部右上方疼痛,噁心,嘔吐,發燒
阻塞可導致嚴重感染,需要緊急醫療護理
肝硬化(Cirrhosis)

腹瀉,食慾減退和體重減輕,腹部腫脹,容易瘀傷和出血
皮膚下可見小的蜘蛛狀血管,皮膚或眼睛發黃,皮膚發癢
豚草過敏(Ragweed allergy)

眼睛發癢,水汪汪,搔癢或喉嚨痛,流鼻涕,充血和打噴嚏,鼻竇壓力
尿布疹(Diaper rash)

皮疹位於與尿布接觸的區域,皮膚看起來紅,潮濕,有刺激性,溫暖的觸感
過敏反應(Allergic reaction)

這種情況被認為是醫療緊急情況。可能需要緊急護理。
當你的免疫系統對皮膚上的過敏原做出反應時就會出現皮疹
皮膚接觸過敏原後幾分鐘到幾小時出現發癢,凸起的傷痕
皮膚接觸過敏原後數小時至數天可能出現紅色,發癢,鱗狀皮疹
嚴重和突然的過敏反應可能導致腫脹和呼吸困難,需要緊急注意
運動員的腳(Athlete's foot)

腳趾之間或腳底之間發癢,腳上的水泡刺痛和灼熱癢
變色,厚實,易碎的腳趾甲
死皮在腳上
接觸性皮膚炎(Contact dermatitis)

接觸過敏原後數小時至數天出現
皮疹有明顯的邊界,出現在皮膚接觸刺激性物質的地方
皮膚發癢,紅色,鱗片
滲水或變硬結痂的水泡
跳蚤叮咬(Flea bites)

通常位於小腿和腳,紅色光環包圍的癢紅色凹凸
被咬後立即開始出現症狀
麻疹(Hives)

暴露於過敏原後發生的發癢,凸起的傷痕
紅色,溫暖,觸感輕微疼痛
可以是小的,圓的,環形的或大的和隨機形狀
過敏性濕疹(Allergic eczema)

可能類似於在手和前臂上發現的燒傷皮膚皮膚瘙癢,紅色,鱗片或生苔,滲出或變成硬皮。
皮疹(Rashes)

這種情況被認為是醫療緊急情況。可能需要緊急護理。定義為皮膚顏色或質地的明顯變化可能由許多因素引起,包括昆蟲叮咬,過敏反應,藥物副作用,真菌皮膚感染,細菌性皮膚感染,傳染病或自身免疫性疾病皮疹症狀可以在家中進行治療,但是嚴重的皮疹,特別是那些與其他症狀如發熱,疼痛,頭暈,嘔吐或呼吸困難相關的皮疹,可能需要緊急醫療。
體蝨(Body lice)

不同於頭部或恥骨蝨子,體蝨和它們的卵有時可以在身體或衣服上看到由於對身體蝨子的過敏反應引起的皮疹紅色,
皮膚上的癢疙瘩皮膚瘙癢區域常見於受刺激的區域。
Impetigo(小膿皰疹)

常見於嬰兒和兒童皮疹通常位於口腔,下巴和鼻子周圍區域刺激皮疹和充滿液體的水泡,容易流行形成一個蜜色的外殼
頭蝨(Head lice)

蝨子的大小和芝麻差不多,蝨子和卵(NITs)都可以在頭髮中看見。
虱叮咬致過敏性頭皮瘙癢,刮傷你的頭皮
感覺好像有東西在你頭皮上爬行
咬傷和叮咬(Bites and stings)

這種情況被認為是一種醫療緊急情況。可能需要緊急護理。
咬傷或叮咬部位發紅或腫脹
咬傷部位瘙癢和酸痛
患處或肌肉疼痛
圍繞咬或螫的熱量
持續性瘙癢
Jock itch(約克癢)

腹股溝區發紅、持續瘙癢和灼燒
在腹股溝區剝落、剝皮或開裂皮膚
腹股溝區皮疹隨活動加重
金錢癬又稱為環癬(Ringworm)

帶凸起的圓形鱗屑疹
環中央的皮膚看起來清晰而健康,環的邊緣可以向外擴散。發癢的
Eczema(濕疹)

鱗片脫落的黃色或白色鱗片
受影響的部位可能是紅色、發癢、油膩。
脫髮可能發生在皮疹區。
乳膠過敏(Latex allergy)

可能需要緊急護理。暴露於乳膠產品後幾分鐘至幾小時內可能出現皮疹,接觸部位發癢,發癢,紅色風疹,可能呈現乾燥,結痂的外觀,反復接觸乳膠空氣中的乳膠顆粒可能導致咳嗽,流涕鼻子,打噴嚏,發癢,水汪汪的眼睛對乳膠嚴重過敏會引起腫脹和呼吸困難
疥瘡(Scabies)

可能需要四到六個星期才能出現極度發癢的皮疹可能是膿皰,由小水皰,或鱗片狀,白色或肉色條線
麻疹(Measles)

包括發燒,喉嚨痛,紅色,水汪汪的眼睛,食慾不振,咳嗽和流鼻涕
從第一次症出現後三五天左右臉部紅疹蔓延到紅色斑點口腔內出現藍白色中心
銀屑病(Psoriasis)乾癬

銀色,明確定義的皮膚斑塊通常位於頭皮,肘部,膝蓋和下背部可能發癢或無症狀
皮膚畫痕症(Dermatographia)

在摩擦或輕微劃傷皮膚後出現的皮疹
擦傷或劃傷的皮膚區域會變紅,變得凸起,並且可能會略微發癢
皮疹通常會在30分鐘內消失
水痘(Chickenpox)

瘙癢,紅色,充滿液體的水皰簇在身體各處癒合的各個階段
皮疹伴有發燒,全身酸痛,喉嚨痛和食慾不振
在所有水皰已經結痂之前仍然具有傳染性
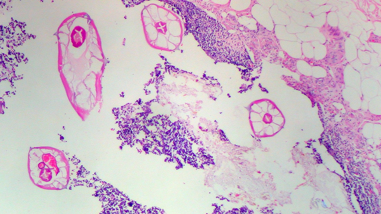
蟯蟲(Pinworms)

最常見的美國腸道蠕蟲感染類型高度傳染性症狀包括肛門區域劇烈瘙癢和刺激,睡眠不安和因肛門瘙癢引起的不適,
大便中的饒蟲可用“膠帶測試收集為醫院診所收集蟲卵在顯微鏡下進行檢查
毒藤(Poison ivy)

皮膚接觸漆酚,這是在常春藤植物的葉子,根和莖上發現的油
皮疹在與植物接觸後約4至48小時出現,並且可在暴露後持續長達一個月
強烈的瘙癢,發紅和腫脹以及充滿液體的水皰油擦在皮膚上
經常出現在條紋狀的線條
毒漆樹(Poison oak)

皮膚接觸漆酚,這是一種油,發現在毒橡樹的葉子,根和莖上
皮疹在與植物接觸後約4至48小時出現,並可在接觸後持續長達一個月
強烈的瘙癢,發紅和腫脹以及充滿液體的水皰
瘙癢的原因
瘙癢可以概括(全身)或局限於一個小的區域或斑點。可能的原因是多種多樣的。它可能是一些非常嚴重的疾病的結果,
如腎衰竭或糖尿病(雖然不常見),或者可能來自一些不太嚴重的疾病,如皮膚乾燥或昆蟲叮咬(更有可能)。
皮膚狀況
許多常見的皮膚狀況會導致皮膚瘙癢。以下可以影響身體上任何部位的皮膚:
皮炎:皮膚發炎
濕疹:一種慢性皮膚病,包括瘙癢、鱗屑疹。
乾癬(銀屑病):一種引起皮膚發紅和刺激的自身免疫性疾病,通常以斑塊的形式出現。
皮膚病:由皮膚上的壓力引起的紅腫、發癢的皮疹。
引起瘙癢的感染包括:
水痘
麻疹
真菌疹
蟎蟲,包括臭蟲
蝨子
蟯蟲
疥瘡
刺激物
刺激皮膚並使皮膚發癢的物質是常見的。植物如毒藥常春藤和毒橡樹和昆蟲,如蚊子產生引起瘙癢的物質。有些人在接觸羊毛、香水、某些肥皂或染料和化學品時會發癢。過敏,包括食物過敏,也會刺激皮膚。
內部障礙
一些內部疾病可能是非常嚴重的瘙癢。下列疾病可引起全身瘙癢,但皮膚通常表現正常:
膽管梗阻
肝硬化
貧血
白血病
甲狀腺疾病
淋巴瘤
腎衰竭
神經系統疾病
其他疾病也會引起瘙癢,尤其是那些影響神經的疾病。這些包括:
糖尿病
多發性硬化
帶狀皰疹
神經病
藥物治療
下列常用藥物常常引起皮疹和廣泛瘙癢:
抗真菌藥
抗生素(特別是磺胺類抗生素)
麻醉止痛藥
抗驚厥藥物
懷孕
有些婦女懷孕時瘙癢。它通常發生在乳房、手臂、腹部或大腿上。有時,這是由於先前存在的情況,如濕疹,是由懷孕惡化。
你不知道是什麼原因導致你瘙癢,你會有其他症狀和瘙癢
當瘙癢的原因不明顯時,去醫院找醫護人員進行診斷是很重要的,因為一些瘙癢的原因是嚴重的,但是是可以治療的。
你的醫護人員會給你做身體檢查,會問你幾個關於你的症狀的問題,
比如:
你過敏多久了?
它反反覆覆嗎?
你接觸過任何刺激性物質嗎?
你有過敏症嗎?
瘙癢最厲害的部位在哪裡?
你服用什麼藥物(或最近服用)?
如果你的醫生不能從你的回答和體檢中確定你癢的原因,你可能需要接受更多的檢查。試驗包括:
血液檢查:可能是潛在的疾病。
甲狀腺功能測試:排除甲狀腺問題
皮膚測試:確定你是否對某些東西有過敏反應。
皮膚刮傷或活檢:可確定是否有感染。
一旦你的醫護人員確定了你的瘙癢原因,你就可以接受治療。如果病因是一種疾病或感染,他們會建議治療潛在問題的最佳療程。
當病因比較膚淺的時候,你可能會收到一個藥膏來幫助止癢。
瘙癢在家庭的護理
在家裡,你可以做一些事情來預防和緩解瘙癢的皮膚。嘗試:
使用一種好的保濕劑來保持皮膚水分
避免搔癢,這會加劇瘙癢。
遠離肥皂、洗滌劑和其他含有香料和有色染料的物質。
用燕麥片或小蘇打洗涼'爽的澡
試用非處方止癢霜
口服抗組胺藥
大多數瘙癢是可治療的,並不意味著嚴重的問題。然而,最好與你的醫生確認確診和治療。
原文出處healthline.com
Medically reviewed by Steve Kim, MD on August 25, 2015— Written by Mary Ellen Ellis
